女子摔伤做髋关节置换术,右腿为啥长了2厘米?法院一审判决:医院赔偿13.7万元
摘要:
一名女子因摔伤接受髋关节置换手术后,发现右腿比左腿长了约2厘米,经法院审理,医院被判决赔偿患者13.7万元,这一事件提醒人们关注医疗过程中的细节问题,也凸显了医疗事故对患者生活造成... 一名女子因摔伤接受髋关节置换手术后,发现右腿比左腿长了约2厘米,经法院审理,医院被判决赔偿患者13.7万元,这一事件提醒人们关注医疗过程中的细节问题,也凸显了医疗事故对患者生活造成的影响,该案例也提醒医院和医生在手术过程中要严格遵守医疗规范,确保患者的安全和健康。
她没想到,自己健康的右腿手术后竟“长长”2厘米,走路跛行。
如今,两年多的艰辛维权换来的是法院一审判医院赔偿13.7万元。医院不服,提起上诉。7月24日下午,二审开庭。
骑车摔伤——拨打120被紧急送医救治,做髋关节置换术后拄拐杖行走
这名女子姓任,今年55岁,家住湖北省恩施州来凤县翔凤镇。
她介绍说,2023年2月23日上午11时左右,她独自骑电瓶车回家,由于下雨途中不慎摔倒,右腿锥心般疼痛,一名好心人见她无法站起来,遂将她扶起还从旁边一店铺借来凳子让她坐下,“我拨打了120,被紧急送到附近的来凤县中医医院(以下简称来凤县中医院)救治。”医生诊断为右侧股骨颈骨折,右髋部软组织损伤。
她告诉华商报大风新闻记者,同年2月25日上午,在麻醉情况下医生姚某给她做了右侧全髋关节置换术,“手术后我住了10多天院就回家了。”
然而,令任女士没有料到的是,出院后她感觉右下肢不舒服,右侧髋部疼痛难忍,走路一瘸一拐的,根本无法下蹲,更不能久站久坐,走路靠拐杖。
女子走路有些跛
她说,她曾多次向姚医生反映,对方叫她多观察观察。
术后复查——检查发现右腿“长长”2厘米,走路跛行评定为九级伤残
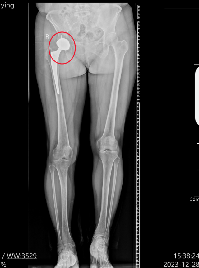
2023年8月28日,任女士到湖北民族大学附属民大医院做检查,结果显示双下肢不等长。
医院检查结果显示双下肢不等长
该医院的一份关于她的门诊病历显示,体格检查“右下肢较对侧长约2厘米。”
图为任女士的门诊病历
同年9月8日,任女士来到湖北恩施中心医院检查,查出右下肢较左下肢长约2.5厘米。2025年1月17日,江西求实司法鉴定中心出具《司法鉴定意见书》称,任女士的伤残等级评定为九级,误工期评定为180天,护理期和营养期都评定为90天。
2025年1月17日,江西求实司法鉴定中心出具《司法鉴定意见书》
鉴定结论——下肢不等长考虑与假体颈过长有关,医院过错参与度为45%-55%
2023年10月,任女士以医疗损害责任纠纷为由,向来凤县法院提起诉讼,该法院委托有资质的鉴定机构对相关证据作了鉴定。
任女士对华商报大风新闻记者称,术前她未在相关手术方案或告知书上签过字。
然而,来凤县中医院出示的一份授权委托书显示,患者签字处是任女士的名字,被授权人签名处是她丈夫郑先生的名字。对此,任女士否认该名字系她本人所签。
湖北东湖司法鉴定所出具的一份司法鉴定意见书表明,该授权委托书中患者签字处的签名笔迹与任女士本人的签名笔迹不是同一人的笔迹。
来凤县中医院涉事医生称,当时任女士和丈夫郑先生都在现场,任女士委托丈夫作为受托人负责签署手术相关资料,在签订授权委托书时,她为了方便遂让丈夫在患者签名处代她签字。
此说遭任女士否认,“那份权威的鉴定意见书证实该授权委托书确非我本人签字,我不明白自己处于清醒状态下,医院为何不让我亲自签字,我怀疑医院在伪造病历资料。”2024年6月6日,任女士向来凤县卫健局投诉来凤县中医院“伪造、隐匿”病历,该局经调查作出无法认定的书面答复,建议她通过司法途径维权。
此外,在过错和原因力等方面,江西求实司法鉴定中心出具的一份《司法鉴定意见书》称,针对任女士的实际情况,医方予以右侧全髋关节置换手术方案系选择不当,且手术知情同意书中手术方案及替代方案空缺,术前亦未告知患者术后下肢不等长风险,医方未尽到一般注意义务和充分的告知义务,存在过错。结合术后影像学资料,任女士术后下肢不等长考虑与其右侧假体颈过长有关,医方术中未尽到高度注意义务,亦存在过错。最终认定来凤县中医院为任女士提供的诊疗行为存在过错,过错与她的损害后果之间存在因果关系,系同等原因(建议过错参与度为45%-55%)。
法院判决——医患双方各担责5成,医院一审被判赔13.7万元后上诉
2025年2月,任女士将来凤县中医院告上来凤县法院,称该医院存在伪造病历情形,属于严重违法行为,应承担完全赔偿责任,请求按100%比例判决赔偿包括医疗费、误工费、护理费 、残疾赔偿金以及精神损害抚慰金等在内的各项损失共计32万余元,后续康复治疗费待实际发生后另行起诉。
今年3月14日,该法院公开开庭审理了此案。
庭审时,作为被告的来凤县中医院辩称,当初任女士在他们医院住院实施手术治疗属实,他们一直依据医疗规定及规章制度给她提供医疗服务。同时,相应的病历资料均是任女士本人签署或她认可的代理人郑先生签署,该医院不存在伪造病历的情形。任女士在起诉状中描述的对应事实不符合客观事实,不具有真实性。
来凤县法院审理后认定的事实是,任女士手术前相关知情同意书等均由她丈夫郑先生签名,且相关授权委托书中应由她本人签名的“患者签名”栏处也是郑先生代签的。
该法院认为,来凤县中医院对任女士的诊疗行为存在一定过错,依法应承担相应的侵权责任,根据司法鉴定意见,酌定对她的损失承担50%的责任,她要求被告承担全部责任,因无事实和法律依据,不予支持。
该法院认定任女士在案涉医疗事故中遭受的经济损失共计27万余元(含鉴定费15400元,精神损害抚慰金10000元),根据认定的责任比例,被告应给任女士赔偿各项损失13.7万余元。
今年5月13日,该法院一审宣判,要求来凤县中医院在3天内支付这笔判赔款。对此,来凤县中医院不服,向恩施州中级法院提起上诉。
二审开庭——医院认为原判决太重请求改判,二审法官组织双方调解遭拒
2025年7月24日下午3时,此案在湖北省恩施州中级法院六号法庭二审。
庭审时,来凤县中医院称,原审判决责任比例划分过高,应调整为45%,精神损害抚慰金10000元过高,应调整为3000元等,认为一审判决认定事实不清、适用法律错误,希望改判。
任女士方面答辩称,责任比例划分方面,医院方的主张无事实和法律依据,如果将精神损害抚慰金调整为3000元显失公平,不能体现医方的过错程度和自己的损害后果,“原审判决认定事实清楚,适用法律正确,责任比例划分合理,各项赔偿项目计算准确,医方的上诉请求缺乏事实与法律依据,恳请二审法院驳回其上诉,维持原判。”
有知情人称,当天下午二审结束后,法官曾组织任女士和医院调解,遭双方拒绝,都希望法院做出公平公正的判决。
患者质疑——涉事医生执业范围为中医专业,是否可做四级关节手术?
就任女士提供的相关证据,华商报大风新闻记者通过国家卫健委的《医生执业注册信息》查询发现,当初给任女士做手术的涉事医生姚某的执业类别为“中医”,执业范围为“中医专业”。
任女士质疑说,就姚某的情况看,他究竟能不能做这样的手术?
一名不愿具名的医学领域专业人士介绍说,髋关节置换术属于西医骨科的四级手术,对医院和医生的资质要求极高,在现行法规框架下,像姚某这样的执业类别和执业范围,若无中西医结合资质或额外授权,原则上不能合法主刀四级髋关节置换手术,具体需结合其教育背景、培训经历、医院资质及地方政策综合判断,若他同时具备中西医结合资质(需注册“中西医结合专业”),则可开展部分西医手术但需结合其实际培训经历和需医院授权。
该人士进一步介绍说,髋关节置换手术中,术后双下肢长度差异是关键性的手术目标,但完全避免差异具有一定挑战性,一般来说小于或等于1厘米被认为是临床的可接受范围,多数患者可良好耐受,无需干预,如果大于1厘米,可能引发诸如跛行、下腰疼痛或假体松动等症状,最理想的差异是努力控制在0.5厘米以下,如果差异大于2厘米通常需要鞋垫调整或做翻修手术。手术之前医生应通过影像学(X线、CT)精确测量健侧与患侧下肢长度,制定个性化截骨和假体安置方案,手术过程中应使用定位导板、计算机导航或机器人辅助技术提高精度,通过试模复位后直接测量或透视确认下肢长度,“根据任女士的实际情况看,她术后下肢不等长考虑与其右侧假体颈过长有关,医生在手术过程中未尽到高度的注意义务,存在相应的过错,而这种结果是比较少见的。”
任女士的妹妹称,他们曾要求来凤县卫健局公开涉事医生姚某的手术资质,对方回复说“我局不是法定的公示主体,不属于我局行政公开范围。”
华商报大风新闻记者联系上该局医政科,工作人员未予回复。来凤县中医院办公室一名女性工作人员称,医生姚某具有这方面的手术资格,他可以做这样的手术。言及其专业技术水平、教育、培训等具体情况时,她称“不太清楚。”
华商报大风新闻记者 黄平 编辑 董琳
责任编辑:戴丽丽_NN4994